Why All on 4 Dental Implants in Tijuana?
X Dentistry Tijuana is located near the Mexican border, offers All on 4 treatments using the best of the latest technologies available.
X Dentistry Tijuana dentist are certified every year by international institutions. Thus, maintaining the quality of our treatments and procedures.
All on 4 dental implants in Mexico Benefits
You no longer have to use a removable denture because with the all on four treatments you will have a fixed prosthesis.
Time Reduction
The patient can enjoy a new set of teeth right before the procedure, saving form 3 months to a year with other conventional dental treatments.
Affordable Price
All on 4 cost in Mexico is more affordable than the one-on-one procedure: the specialist only needs one intervention to restore a whole full set of teeth
Permanent Results
All on 4 treatment gives you a definitive and permanent solution for your teeth that will last all your life; of course, it will need maintenance provided by the patient.
How much do All on 4 dental implants in Tijuana cost?
All on 4 dental implants in Tijuana start with a price of $8,900 USD*; includes all material and supplies used during the intervention.
On your first visit to X Dentistry Tijuana, you only pay for the procedures you go through; all studies and 3D scans are for free.
Approximately 4 to 6 months later, on your second visit, the full cost of the treatment will be paid.
*Cost may vary depending on the patient’s medical conditions
Prettau Zirconia Bridge All on 4 Cost in Mexico
- 4 Dental Implants
- Dental Surgery + Healing process
- Temporary Prosthesis
- Prettau Zirconia Superstructure
Nano Ceramic All on 4 Cost in Mexico
- 4 Dental Implants
- Dental Surgery + Healing process
- Temporary Prosthesis
- Nano Ceramic Superstructure
X Dentistry Tijuana Reviews
Hundreds of patients coming from U.S. and Canada are talking about their experiences at X Dentistry Tijuana take a look to the recent ones.
Is It Possible to Have my Teeth in a Day?
Yes, it is. For $1,800 USD you can have a PMMA bridge fixed into your mouth right after the surgery. This denture is a temporary one implanted when all on 4 treatment is done.
It will allow you to have more activities than the regular temporary denture.
I Want my New Smile
Our Dental Advisor will accompany you in the dental transformation process.
They are ready to answer all your questions.
How About Getting an Up-grade?
Types of All on 4 Dental Implants:
Prettau Bridge Zirconia Superstructure
Prettau Zirconia is a great solution for dental implants thanks to its aesthetical, more natural looking teeth. Zirconia Superstructure is the strongest, long lasting and fracture-resistant material.
Nano Ceramic
Some patients ask for the Nano Ceramic superstructure due its light-weighted dental prosthesis and the flexibility it has with the movement of the mouth.
Pekkton Lisi Thimble Hybrid
One of the first implant-base solutions we offer for full mouth dental reconstruction; due to its durability and real teeth look alike, is one of the preferred treatments.
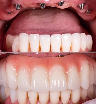
All on 4 Tijuana Before and After
Our patients have chosen X Dentistry Tijuana not only because is near the border but for the high-quality standards for dental work.
X Dentistry Tijuana has become a reference for all on 4 treatments in Tijuana. Our promise is to always work hard to get the best
results for your teeth, so you can really have the smile you’ve dreamed of.
All on 4, All on 6, All on 8
Which one should I choose?
To choose one of them will depend on the specific case the implant require. Each alternative has different benefits and brings more stability depending on the jaw bone density level you have.
All on 4 Dental Implants Tijuana
The all on 4 dental implants solution consist in four dental implants placed in the jaw bone to retain a dental superstructure, resulting in a full smile reconstruction.
All on 6 Dental Implants Tijuana
The all on 6 dental implants require six dental implants placed in the jaw bone to retain a dental superstructure. Increasing the number of implants means additional security when the jaw bone density has suffered bone loss.
All on 8 Dental Implants Tijuana
All on 8 dental implant is used when the jaw bone has led to the extent of lacking density at all. This means that you will need eight implants to retain the superstructure without any risk to lose it.
All on X Dental Implants
- X Dental Implants
- Dental Surgery + Healing process
- Temporary Prosthesis
- Choosen Superstructure
Am I a Candidate for an All on X Dental Implants?
You could be a candidate if:
Give us a call to have a dental evaluation with our dental advisors.
Full Set of
All on 4 in Tijuana
During the smile design, at X Dentistry Tijuana you have the opportunity not only to choose the material of your dental arches, but you can also choose the shape and color of the teeth of your new smile.Prices start from $11,000 USD to Custom Price depending in the requirements chosen by the patient.
All on 4 cost in X Dentistry
| All on 4 Dental Implants | From $11,000 USD per arch |
| All on 6 Dental Implants | From $12,800 USD per arch |
| All on 8 Dental Implants | From $13,600 USD per arch |
| Nano Ceramic Super Structrure | From $6,400 USD per structure |
| Prettau Zirconia Super Structure | From $6,400 USD per structure |
| Pekkton LiSi Super Structure | From $7,200 USD per structure |
All on 4 or All on 6; Which one should I choose?
How Long does All on 4 Process Take?
At X Detistry Tijuana, all on 4 dental implant process is made in two phases. We recommend a 10 day stay for each phase, with an intermediate period of four to six month between them.
Surgical Phase
In this phase the dentist is going to perform the specific procedure you have choose; at the end you will leave with a fully functional temporary dental prosthesis.
Evaluation and Treatment Explanation
An evaluation of your denture health using a 3D scan along with a complete checkup is required so the specialist can recommend the proper treatment fit your specific case.
Digital Smile
Design
The smile design begins and we will show you a preview of what your new smile will look like in a 3D digital model.
Surgery and Implant Placement
On the last day, our team of dentist will place a temporary dental prosthesis.
Restorative Phase:
4 to 6 months later, on the second trip, the temporary dental prosthesis will be replaced for the permanent dental prothesis.
Follow-Up Consultation
The dentist will start a dental evaluation to verify if the osseointegration process was fully complete as well the healing process.
Temporary Prosthesis Removal
Our dentist starts the process to remove the temporary prosthesis, and place the permanent new teeth instead.
Smile with Your New Permanent Teeth
The next day, we evaluate how the process is going, make some final adjustments and give you some suggestions to preserve your new teeth.
X Dentistry All on 4 FAQ’s
1. How strong are All on 4 Dental Implants?
Dental work timeframe in X Dentistry Tijuana is about from 5 to 10 days, depending on the complexity of the procedure you will undergo.
2. Are All on 4 Dental Implants permanent?
Mexico is ranked worldwide as the number one country for dental tourism, with its high-quality standards & affordable costs, and in addition to this, its proximity to the US and Canada.
With more than 10 years of experience and hundreds of smiles endorsing their work, dentists in X Dentistry Tijuana are ready to give you the best dental service.
3. Will people be able to notice the line between the fixed bridge and the jaw bone?
Smile design dentistry means we, as dental specialists, will design the perfect smile digitally in a 3D model. This way, you will be able to preview your new smile and ask for changes in case you want a different result.
4. Does All on 4 hurt?
If you are ready to have a million dollar smile, Tijuana is the best options for you. By combining U.S. medical standards and technologies with Mexico’s prices and warm
attention, we are able to provide you with the best of both worlds.
5. How long does the All on 4 procedure take?
Traveling for dental treatments is considered essential travel. As opposed to traditional tourism, you will have no problem when crossing the border. At X Dentistry Tijuana, all procedures are carried out with strict dental hygiene protocol.
All of our highly trained specialists have years of experience in their specific dentistry areas.














