Dental Cleaning
Tijuana
Teeth Cleanings are essential in maintaining a healthy
mouth. They are normally quick simple procedures and it is
recommended to perform it at least twice a year. A teeth
cleaning removes plaque and tartar build up in your teeth
and in the periodontal pockets where food particles and
bacteria can gather. If there is too much plaque and tartar
build up, it may lead to Gum Disease or Periodontal
Disease.
X Dentistry is located on the 12th floor of the NewCity
Medical Plaza, a modern complex specialized in medical
tourism. A few steps away you will find a number of
gastronomic, recreational and lodging options so that you
have everything you need within reach.
Contact one of the
Top Dentist in Tijuana!
Types of Teeth
Cleaning
GENERAL CLEANING
Takes only from half an hour
to 45 minutes and is
a painless procedure.
DEEP CLEANING
Is required when there is a large
amount of plaque, which can cause
tooth decay and/or gingivitis.
PERIODONTAL CLEANING
If tartar buildup continues, it can affect the
gums, the tissues and ligaments that support
the teeth,
Dentist Teeth Cleaning Cost Tijuana
Benefits of Deep
Teeth Cleaning
SAVING
The clinic’s facilities and the dentist’s prestige.
Cost Helper readers report an average price of
$ 127 for just a routine cleaning.
PREVENTION
Maintaining good oral hygiene and regular visits
to the dentist is the best way to make sure that
you do not develop gum disease.
TRAVEL ASSISTANCE
X Dentistry offers you a number of additional
perks on all your dental treatments, including
travel assistance and complimentary shuttle.
Teeth Cleaning Step by Step
En X Dentistry queremos que tu experiencia sea totalmente placentera. Por eso estamos a tu entera disposición y nos encargaremos
de lo que requieras Antes, Durante y Después de tus tratamientos dentales.
Teeth Whitening
Tijuana
Teeth whitening is a specialized procedure that lightens the
natural color of your teeth without removing any of the
tooth surface. Teeth whitening improves the overall
appearance of your smile and may contribute to increasing
your self-esteem and self-confidence.
The procedure is completely safe and takes about an hour,
so it can be done during a casual visit to Tijuana. We can
even pick you up to take you to the clinic from your hotel
or the border at no additional charge. Get ready to have a
brighter smile!
Which One is the Best
Treatment for You?
Tijuana Dental
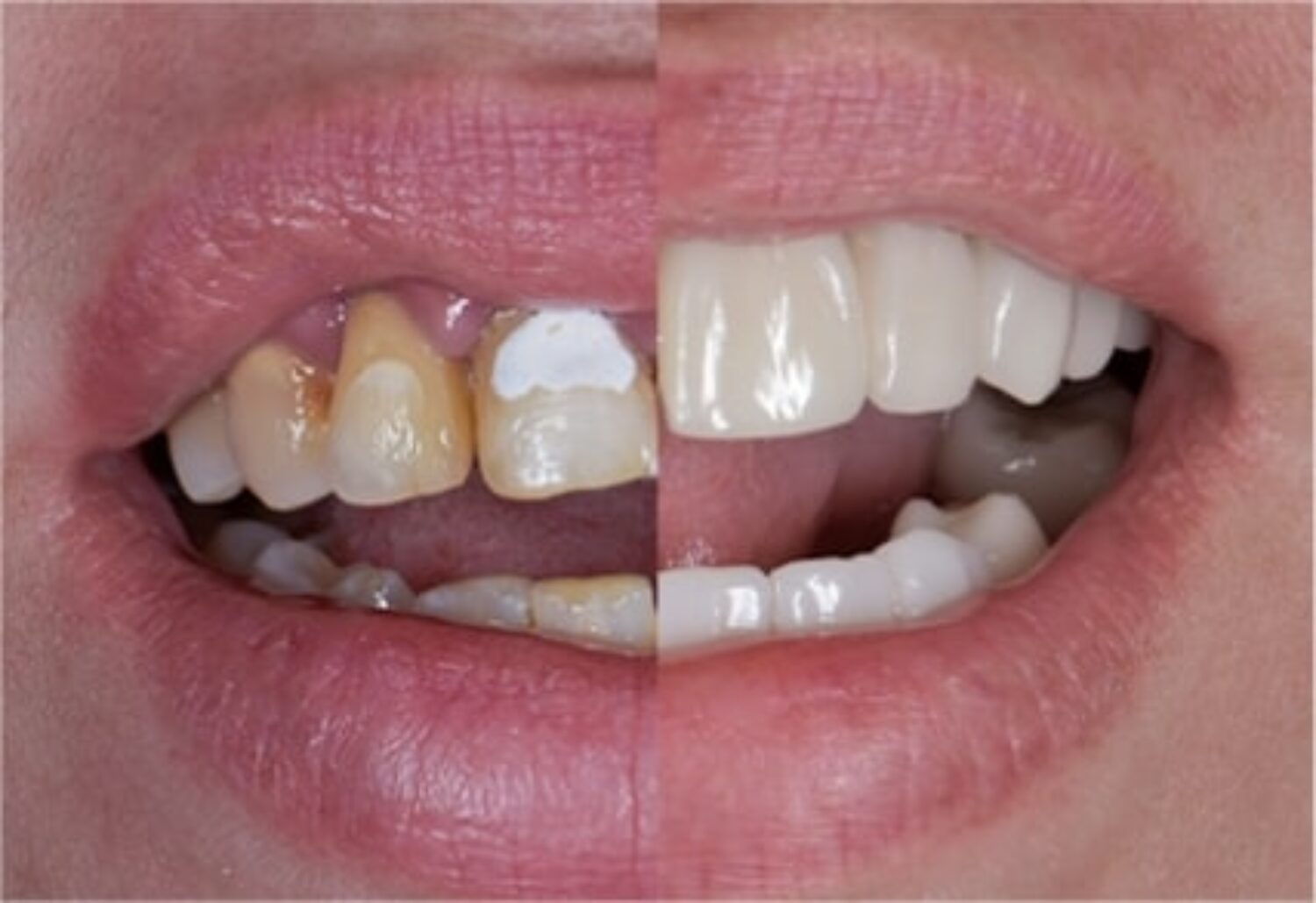
Veneers
Depending on your dental conditions, you may need to
undergo a veneers treatment before or after a teeth
cleaning, especially if you have severely decayed or
chipped teeth. This way, the specialist achieves a more
uniform result.
At X Dentistry Tijuana we offer you many types of dental veneers,
from traditional composite ones to E-max porcelain veneers and
Lumineers. Our specialists will carefully evaluate your teeth status to provide you with the most appropriate options according to your needs.
Complete Evaluation at
No Extra Cost
All of our treatments include a free complete evaluation of
your dental status. At X Dentistry you will not pay anything
extra for this assessment, which will save you hundreds or
even thousands of dollars compared to dental clinics in the
United States.
You won’t pay either for 3D CBCT X-rays, periapical X-rays,
intraoral scanning and surgical guides or models if
required. Even transportation and travel assistance are
included if you wish!





